Bisslageveränderung - Eine Behandlung vom Experten

Wir führen Bisslageveränderungen durch, gestützt auf digitaler Funktionsanalyse in Zusammenarbeit mit Osteopathen, um bei Patienten mit folgender Symptomatik die physiologische Okklusion wiederherzustellen:

  • Kiefergelenkschmerzen
  • nächtlichen Parafunktionen (Knirschen und Pressen)
  • tägliche Kopfschmerzen bis hinzu Migräneanfällen
  • Verspannungen in der Nacken- und Rückenmuskulatur

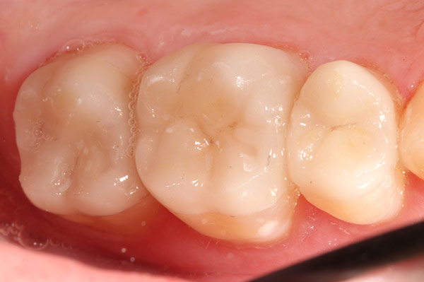
Nach der Funktionsanalyse beginnen wir mit einer Schienentherapie. Die neue Kieferrelation  wird dann auf laborgefertigte Langzeitprovisorien umgesetzt und bei wiederhergestellter physiologischer Bisslage auf sogenannte Table Tops übertragen. Table Tops sind vollkeramische Kauflächen-Veneers, die auf die Kauflächen der hinteren Backenzähne aufgeklebt werden und den programmiert-korrigierten Biss wiedergeben.